Más Información

Petrolera Chevron envía al menos 11 buques cisterna a Venezuela; "seguimos operando en total cumplimiento con las leyes"

Entre rugir de motocicletas despiden a biker arrastrado por un auto en Iztapalapa; exigen investigar su muerte como homicidio doloso

México toma ventaja en el suministro petrolero a Cuba, según Financial Times; caída venezolana marca nuevo escenario

Emilio Azcárraga Jean vende participación minoritaria de Televisa; Bernardo Gómez y Alfonso de Angoitia compran acciones por partes iguales

Trump evalúa intervención militar en Groenlandia; Casa Blanca confirma que se estudian “diversas opciones”

¿Y el Cártel de los Soles? EU elimina mención a Maduro como líder de esa organización criminal; la señala como sistema de clientelismo

Delcy Rodríguez afirma que ningún “agente externo” gobierna Venezuela; ante amenazas, asegura que sólo Dios decide su destino

Trump alertó a ejecutivos petroleros un mes antes de la caída de Maduro en Venezuela; "prepárense", les dijo

Maduro tiene inmunidad por ser presidente de Venezuela, dice fiscal; no puede ser arrestado o enjuiciado por "tribunales extranjeros"
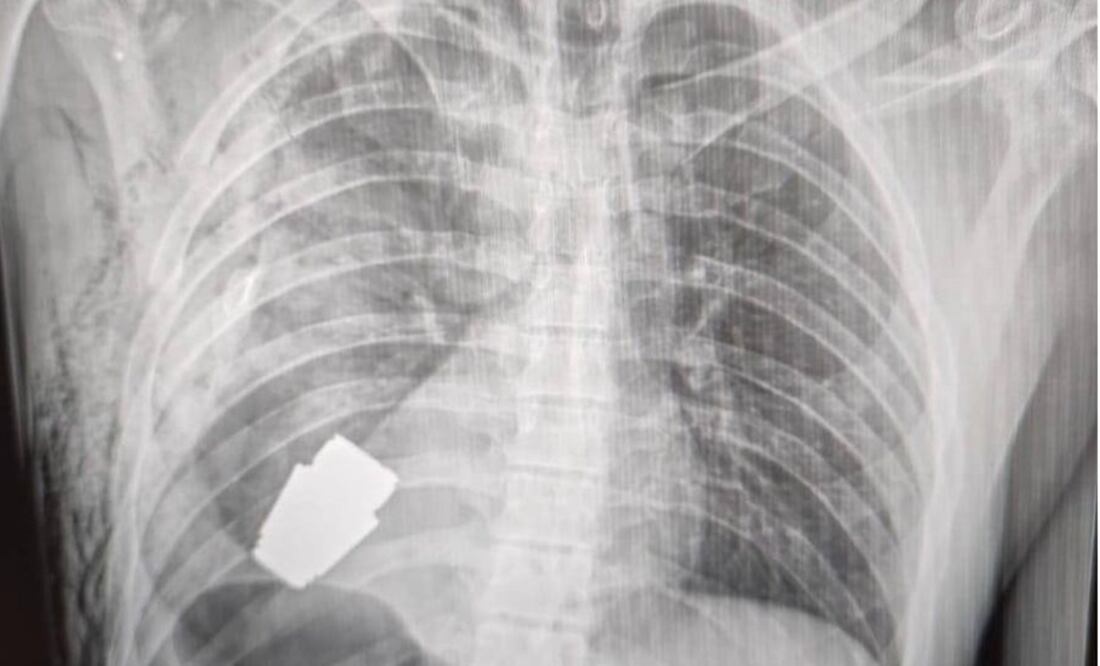
El resultado de la delicada operación fue dado a conocer por la viceministra de Defensa, Hanna Maliar, quien publicó en redes sociales que "no todas las heridas en la zona del corazón son letales".
Agregó que la granada fue extraída bajo la supervisión de dos militares expertos en explosivos para tratar de asegurar la seguridad de los médicos y dar indicaciones para evitar que fuera detonada.
Maliar contó que la operación estuvo a cargo del cirujano militar, Andriy Verba, de 57 años, considerado uno de los más experimentados doctores del ejército ucraniano.
Durante la operación no se pudo utilizar la electrocoagulación, procedimiento común en las cirugías del corazón para evitar que el paciente sufra una hemorragia, por temor a que la corriente eléctrica pudiera detonar la granada.
El fragmento de la granada de fabricación rusa que quedó alojado en el cuerpo del soldado tenía cuatro centímetros de diámetro y pesaba 275 gramos.
20 segundos
Este tipo de granadas de tipo VOG, desarrolladas en la Unión Soviética en la década de 1960, se pueden utilizar en varios tipos de lanzagranadas y llegan a tener un alcance de hasta 400 metros.
Lee también: Vladimir Putin destituye al comandante de las fuerzas rusas en Ucrania 3 meses después de su nombramiento
Normalmente son granadas que explotan unos 20 segundos después de ser lanzadas.
Según las fuerzas ucranianas, han sido utilizadas desde el inicio del conflicto en el este del país en 2014.
Lo que más impresiona a los analistas es cómo la granada permaneció sin detonar pese a mantenerse explosiva durante y después de la operación hasta que fue desactivada por los especialistas
La identidad del paciente no ha sido revelada y solo se conoce que nació en 1994.
Lee también: "Nada fue normal": la "desconcertante" bienvenida al Año Nuevo de Vladimir Putin
"Su condición es estable", informó Anton Gerashchenko, asesor del ministerio de Asuntos Internos.
"Creo que este será un caso del que quedará en los libros de texto de la medicina", agregó.
Suscríbete aquí para recibir directo en tu correo nuestras newsletters sobre noticias del día, opinión y muchas opciones más.
vare
Más Información
Noticias según tus intereses
ViveUSA
[Publicidad]














