Más Información
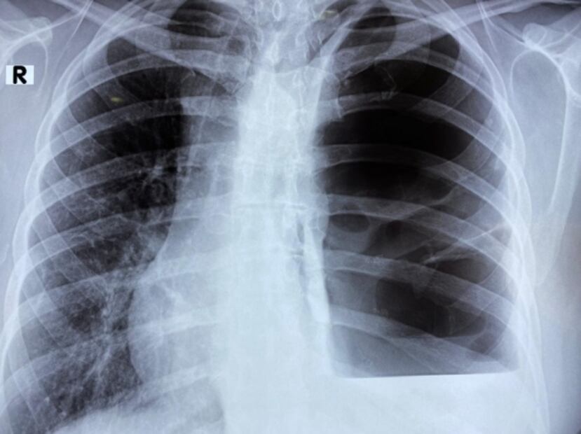
Un científico del Instituto Politécnico Nacional (IPN) destacó la importancia de la atención médica temprana, luego que a través del análisis ha sido posible apreciar cambios pulmonares en pacientes asintomáticos y con pruebas negativas de detección del coronavirus SARS-CoV-2 , que provoca la enfermedad Covid-19 .
Guillermo Prado Villegas señaló a través de un comunicado que es importante, además de la atención médica temprana, contar con estudios de tomografía del tórax, imprescindible para la detección de la enfermedad que ha provocado más de 82 mil fallecimientos en México .
El investigador de la Escuela Superior de Medicina (ESM) reconoció que pese a la negativa que arrojen pruebas de Reacción en Cadena de Polimerasa (PCR), las tomografías son de gran utilidad pues demuestran el daño generado por el coronavirus.
También lee:

Respecto a las afecciones en personas asintomáticas apuntó que estos pacientes repentinamente presentan dificultad para respirar y en algunos casos fibrosis o necrosis del parénquima pulmonar.
“Hay personas que creen tener un cuadro faríngeo, gripe o tos habitual, cuando realmente cursan con una enfermedad grave y ya tienen neumonía, destrucción del tejido pulmonar, bullas (espacios que carecen de pared epitelial), neumotórax, abscesos o paquipleuritis y diversos grados de fibrosis pulmonar”, puntualizó el experto de la Unidad de Terapia Intensiva Covid del Centro Médico Nacional "La Raza".
También lee:
Prado Villegas dijo que es importante tratar de forma temprana la neumonía atípica, esto para contener la gravedad de los daños ocasionados por la afección.
"“El uso de esteroides ha mostrado disminución en la morbimortalidad de pacientes con COVID-19, pero es importante recibir terapia pulmonar, la cual debe ir de la mano de broncodilatadores y técnicas de rehabilitación para preservar la mayor cantidad posible de tejido y reducir las secuelas", afirmó.
La pandemia de Covid-19 ha provocado la muerte de 82 mil 726 mexicanos; a nivel mundial, la enfermedad ha terminado con 1.06 millones de vidas.
nrv
Noticias según tus intereses
[Publicidad]
[Publicidad]











