Más Información

Segob llama a mesa de trabajo ante amago de bloqueos para este lunes; pide evitar acciones que afecten a la ciudadanía

Llega a México Xiomara Castro, presidenta de Honduras, para reunirse con Sheinbaum; fue recibida por el canciller De la Fuente

Congreso de CDMX alista comisión para investigar marcha de Generación Z; Morena descarta "venganzas"

Felicitación a Fátima Bosch fue "por entusiasmo popular", dice Pemex; se deslinda de empresas señaladas de injerencia en Miss Universo
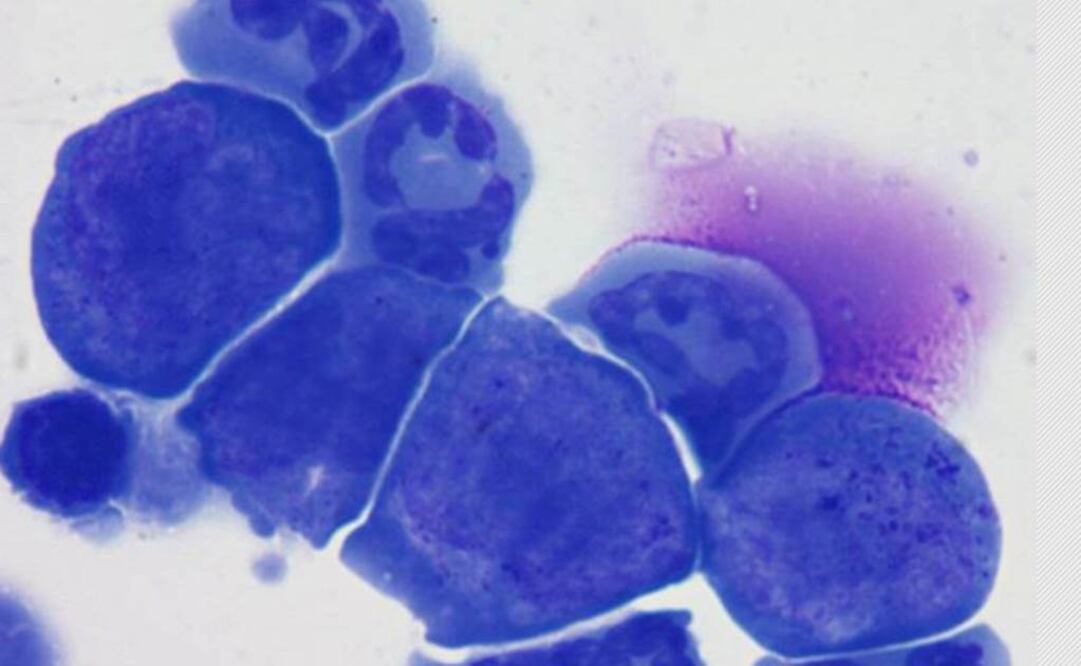
Un equipo de científicos de Estados Unidos descubrió un posible fármaco que hace que las células cancerígenas se autodestruyan, según publica este lunes la revista Proceedings of The National Academy of Sciences (PNAS).
El nuevo compuesto químico actúa sobre las células cancerígenas con más precisión que cualquier tratamiento existente, según la investigación llevada a cabo por científicos de la organización biomédica The Scripps Research Institute (TSRI), en Florida.
El gran avance de este posible fármaco, que ha sido probado en animales, es la precisión, ya que ataca directamente a las células que causan el cáncer, incluso las que permanecen ocultas, y no afecta a las células sanas.
Lo más avanzado del compuesto químico es que activa un mecanismo por el cual las células cancerígenas "se matan a sí mismas" de forma "programada", explicó el profesor Matthew Disney, que lideró el equipo de investigación.
Este nuevo compuesto se puede implementar en las principales drogas contra el cáncer utilizadas en la actualidad en tratamientos contra el cáncer, de forma que mejoren la identificación de las células cancerosas y actúen directamente contra ellas.
Esto significa que no solo sería un tratamiento eficaz sino que además actúa directamente sobre el tumor, con lo que se minimiza el daño a las células sanas.
Hasta la fecha, los tratamientos de mayor precisión exigían un mayor tiempo de espera o eran más largos.
Sin embargo, este compuesto mejora el tratamiento en todos los sentidos: es más rápido, más eficaz y menos agresivo.
El tipo de cáncer en el que el tratamiento es más efectivo es el cáncer de pecho de más rápido crecimiento, que representa entre el 10% y el 20% de los casos de cáncer de mama.
Además del cáncer de pecho, los investigadores del laboratorio de Disney esperan que el fármaco, una vez aprobado, se pueda aplicar en el futuro a todo tipo de tumores e incluso para combatir enfermedades víricas graves como el zika y el ébola.
El hallazgo ha sido posible con la aplicación de la ingeniería y la informática a la medicina, una estrategia en la que son pioneros los laboratorios del TSRI, una de las de las mayores organizaciones centrada en la investigación biomédica.
kal
Noticias según tus intereses
[Publicidad]
[Publicidad]










